Dental Telereporting

Viscan Diagnostics now offers professional online interpretation and reporting of dental radiology studies within 24 hours*

Comprehensive Reports
Comprehensive Reports

Very detailed reports covering all aspects of your study prepared by radiologists.

Expert Dental Radiologists
Expert Radiologist

Group of Expert Radiologists providing you the best quality service.

Advanced Technology
Advanced Technology

Our Radiologist uses latest and Advanced technology and Tools

Quality Control Protocol
Quality Control Protocol

Get Consistent and Accurate Report Everytime with Vi-Scan

Accurate and Reliable Results
Accurate and Reliable Results

Our Reports are very Accurate and reliable

Affordable Reasonable Pricing
Affordable Pricing

Get Radiology Reporting service at a Very affordable charges.

Holistic Dental Teleradiology Provider
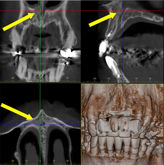
CBCT Interpretation

Cone beam computed tomography (CBCT) scans are prescribed mainly to assist in diagnosis-pre-surgical planning and to assess the results of certain types of treatments or periodic evaluations. The interpretation of a CBCT scan is a step-by-step analysis of all abnormal radiographic findings or features with the goal of recognizing and collecting as much information as possible that is available in the various image reconstructions.

Analysis of the collected information may lead the clinician to a diagnosis or, more frequently, to a short list of possible diagnoses.

IOPA Reporting

Intraoral periapical Radiographs form an invaluable adjunct in the diagnosis, treatment planning, and postoperative evaluation during patient management in the dental office as these are the most common and essential diagnostic aids in dental radiology.

Interpretation of such radiographs will reveal pathologies with high resolution and minimal risk of radiation.

OPG Reporting

The OPG provides a useful screening radiograph for examination of the dentition and facial skeleton. The dosage of radiation received by the patient is approximately 0.014 mSv, which is less than that of a standard chest X-ray at 0.02 mSv.

Being an extra-oral radiograph, there is less limitation in taking the image when the patient has difficulty opening their mouth or where a prominent gag reflex prevents intra-oral films from being used A systematic evaluation of panoramic radiographs could reveal pathologies and bony changes on a wider latitude compared to the intraoral radiographs.

Easily obtain a Tele report in 3 simple steps
1
Submit a New Case

Fill in patient information and clinical information

2
Case Assigned to Radiologist

Your case is assigned to one of our radiologists with a standard turn around time of 24 hours

3
Case Completed

You will receive an e-mail when the case is completed with the PDF report and relevant images for the same